Первый этап включает исследование, которое позволяет изучить все аспекты фертильности как у мужчин, так и у женщин. Кроме того, более подробно это зависит от выявленных характеристик. Большое значение имеет наличие других заболеваний, способных спровоцировать наступление бесплодия, как у мужчин, так и у женщин.
Многие методы диагностики основаны на тщательном изучении истории болезни пациента. Вы должны обращать внимание на повседневную среду, в которой находится человек. Большое внимание уделяется анамнезу, основанному на ряде медицинских сведений, о которых говорит сам пациент: случаи интоксикации, рабочая атмосфера, сильный стресс, несчастные случаи на работе и т.д. Андрологи.
Современные методы диагностики бесплодия включают:
- гистеросальпингография;
- гистероскопия;
- ректальный контроль температуры;
- лапароскопия;
- обследование на скрытые инфекции;
- определение уровня гормонов;
- тест на совместимость;
- спермограмма;
- Ультразвук.
обязательно проверьте обоих супругов на наличие заболеваний, передающихся половым путем.
Диагностика женского бесплодия
Большое значение в диагностике бесплодия имеет ультразвуковое исследование органов малого таза, благодаря которому можно выявить многие нарушения строения половых органов. С его помощью диагностируют эндометриоз, нарушения структуры яичников, наличие и размер фолликула и яйцеклетки и другие заболевания. Очень важно не потерять данные УЗИ, даже если при нем не было обнаружено патологии.
Лапароскопия для диагностики бесплодия — это операция, при которой исследуются органы малого таза с помощью инструмента, оснащенного оптикой. Лапароскопия бывает двух видов: диагностическая и оперативная.
Гистеросальпингография (ГСГ) — это рентгенологическое исследование матки и труб, которое позволяет получить объективную информацию об их состоянии, позволяет оценить проходимость и функциональное состояние маточных труб, рельеф и размер слизистой оболочки матки.
Гистероскопия — это исследование стенок полости матки с помощью гистероскопа, при необходимости, с последующими диагностическими и хирургическими процедурами.
Ректальная температура (ТА) позволяет объективно оценить функцию яичников в течение длительного периода времени. Его необходимо измерять непрерывно в течение 2-3 циклов, включая дни менструации. Также следует определять, овулирует ли женщина каждый месяц. Вы можете отследить это дома:
- с помощью теста на овуляцию (продается в аптеках и магазинах);
- фиксировать консистенцию цервикальной слизи в течение нескольких месяцев;
- фиксировать изменения температуры тела по утрам (базальная температура тела) в течение нескольких месяцев.
Гормональный фон женщины исследуется с помощью комплексной сдачи крови для определения уровня следующих гормонов: тестостерона, пролактина, Т3, Т4, ТТГ, кортизола, эстрадиола, ДГЭА-С. С помощью полученных результатов можно определить время наступления овуляции и пропорциональное соотношение гормонов, ответственных за наступление беременности.
Диагностика мужского бесплодия
На первом этапе следует обратиться к методам диагностики мужской сперматозоидной жидкости. При этом большое внимание уделяется выявлению возможных инфекций, вызывающих бесплодие в подавляющем большинстве случаев. Спермограмма — это анализ спермы по множеству показателей. Как правило, при проведении этого анализа оценивается количество сперматозоидов, цвет, количество сперматозоидов и их подвижность, а также наличие других клеток. Благодаря такому обследованию можно установить наличие инфекционных заболеваний, воспаления простаты и бесплодия. Также проводится подробный анализ крови, по результатам которого уже на начальных этапах диагностики можно выявить основную причину бесплодия.
На втором этапе проводится полный комплекс различных диагностических мероприятий: ультразвуковое исследование органов мошонки, определение гормонального статуса, возбудителей урогенитальных инфекций. Включая при необходимости назначенные генетические исследования, центрифугирование эякулята и посторгазмические исследования мочи. При тяжелой патоспермии и азооспермии следует провести гормональные исследования.
Также стоит обратить внимание на такой метод диагностики, как тест на совместимость. В некоторых случаях причиной бесплодия может быть иммунологическая несовместимость пары. Этот диагноз устанавливается с помощью специальных тестов: один из них направлен на выявление совместимости только с мужем, а другие — с мужем и донором.
Причины бесплодия
Женская санаторно-курортная клиника — ИЗВЕСТНАЯ и старейшая КЛИНИКА по выявлению причин бесплодия и лечению бесплодия в Пятигорске, KMV.
Для выявления причин и лечения бесплодия врачи-гинекологи, гинекологи-эндокринологи и репродуктологи из Нальчика, Грозного, Ставрополя, Баксана, Шали, Владикавказа, Аргуна, Моздока, Кизляра, Махачкалы, Дербента, Карачаевска, проспекта Ростов-, Нефтегаз- Кисловодск, Пятигорск, Ессентуки и другие города Южного федерального округа.
|
Под супружеским бесплодием (бесплодие) понимается отсутствие беременности у супружеской пары (в том числе в гражданском браке) в течение 1 года и более регулярной половой жизни без противозачаточных средств (контрацептивов).
Бесплодие для удобства понимания возможностей диагностики причин и лечения подразделяется на женское и мужское.
Женское бесплодие делится на первичное (если женщина никогда раньше не была беременной) и вторичное (если беременность наступила независимо от ее исхода: выкидыш или преждевременные роды, медикаментозный аборт, доношенные роды, внематочная беременность).
Выкидыш, прерывание беременности или преждевременные роды иначе называют МОМ.
Причины бесплодия у женщин
- Причиной бесплодия часто бывает нарушение овуляции (нарушение выхода яйцеклетки) и имплантация оплодотворенной яйцеклетки из-за дисфункции гипоталамуса — гипофиза, яичников, надпочечников и щитовидной железы (эндокринная форма бесплодия).
Рентген черепа для определения состояния турецкого седла. Гипофиз расположен в турецком седле - Нарушение фолликулогенеза (нарушение созревания яйцеклетки) и отсутствие овуляции из-за яичниковарикоцеле (расширение яичниковых / яичниковых вен).
Чтобы определить сосудистую причину (фактор) бесплодия у женщин, в Спа-клинике женского здоровья проводится ультразвуковое исследование в 3D и энергетический допплер с использованием аппаратов экспертного класса.
| 3D фото овуляции: четко очерчены края свежего разрыва (овуляции) фолликула | ![]() |
Патология самой яйцеклетки (дисморфизм яйцеклетки) С целью исследования полости матки, проходимости и активности маточных труб в клинике Women’s Health Spa Clinic, эхистеросальпингография (эхо GHA, УЗИ с контрастом) — исследование проходимости маточной трубы БЕЗ БОЛИ под контролем УЗИ. Информация об исследовании проходимости маточных труб подробно.
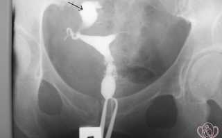
| Контроль проходимости маточных труб под рентгенологическим контролем. Определяется правый сактосальпинкс. Сактосальпинкс обозначен стрелкой. Зубцы пулевого зажима видны внизу изображения | ![]() |
Морфологические (структурные) аномалии ресничек маточных труб. Перед экстракорпоральным оплодотворением, ИКСИ, маточные трубы часто удаляются, чтобы исключить эту причину бесплодия у женщин и повысить шансы на зачатие. Подробная информация о лечении гидросальпинкса.
| 3D фото гидросальпинкса до лечения в нашей клинике. Увеличенная маточная труба обозначена стрелками |
Иммунологическая форма женского бесплодия
Причины бесплодия, которые трудно исправить у женщин, — это внутриутробные синехии (спайки), двурогая матка, матка грудного возраста. Об аномалиях развития, их диагностике и лечении подробно.
| 3D фото полипа эндометрия. Матка грушевидной формы, полип определяется как объемное образование в верхней трети полости матки | |
| 3D фото миомы матки. Подслизистый миоматозный узел определяется в правом трубном углу и закрывает вход в правую маточную трубу |
была обнаружена СВЯЗЬ между аномалиями развития репродуктивных органов (без поражения яичников) и низким качеством ооцитов (яйцеклеток) у женщин с нормальным кариотипом (хромосомный набор 46 ХХ).
В то же время размер яичников, достаточный овариальный резерв (количество фолликулов) и уровень гормонов указывают на нормальное развитие гонад (яичников).
| 3D фото полного удвоения матки: после иссечения (удаления) полной перегородки определяются две шейки и фрагмент влагалищной перегородки. Женщина безуспешно пыталась забеременеть через «нефункционирующее» левое влагалище с рудиментарной (рудиментарной) маткой |
Нарушение прохождения спермы по цервикальному каналу является цервикальным фактором (причиной) женского бесплодия. Для выяснения цервикальной причины бесплодия в поликлинике женского санатория проводят посткоитальный тест (тест на совместимость, тест Шуварского-Гюнера) и кольпоскопию.
| Фотография большого полипа, блокирующего канал шейки матки и препятствующего зачатию в течение 3 лет, прежде чем его удалили в женской клинике курорта. Беременность наступила через два месяца после удаления полипа |
Причиной бесплодия может стать нарушение имплантации плодного яйца из-за нарушения системы свертывания крови (тромбофилия). Подробно о нарушениях свертывающей системы крови, диагностике и лечении.
Причин (форм, факторов) бесплодия у женщин может быть одновременно несколько — смешанная форма бесплодия и сочетание мужского и женского бесплодия — комбинированная форма семейного бесплодия.
Чтобы забеременеть, ВАЖНО начать движение в правильном направлении!
ВСЕ, что вам нужно знать о правильном направлении лечения бесплодия, смотрите ЗДЕСЬ:
Благодарим родителей, которые лечились с нами и делились с нами фотографиями своих детей. Это вдохновит тех, кто лечится или все еще мечтает.
ПОЛНОЕ амбулаторное обследование (без госпитализации) для выявления ВСЕХ причин бесплодия у женщин в Термальной клинике женского здоровья требует ТРИ ПОСЕЩЕНИЯ врача в течение 10-14 дней (время, необходимое для проведения клинических и лабораторных исследований).
ПЕРВИЧНЫЙ прием у гинеколога и осмотр желателен за 3-5 дней от начала менструации.
День первого посещения гинеколога и начало обследования не зависят от обилия, болезненности и продолжительности менструации.
В некоторых случаях при невозможности появиться в указанные дни менструального цикла (от 3 до 5 дней от начала менструации) допускается первичный прием гинеколога в другие дни менструального цикла.
Полный объем и СТОИМОСТЬ клинико-лабораторного обследования и лечения представлены на нашем сайте в Приложении № 3. Лечение женского бесплодия эндокринного (гормонального) и смешанного генеза.
Вы можете провести необходимые клинические и лабораторные исследования по месту жительства или в нашей клинике по предварительной записи.
Результаты экзамена действительны в течение 6 месяцев со дня сдачи при отсутствии смены полового партнера.
Мы принимаем девушек, женщин и семейные пары со всех городов России, ближнего и дальнего зарубежья.
Женская санаторно-курортная клиника работает как по платным услугам, так и по системе добровольного медицинского страхования.
Курортная клиника женского здоровья оказывает помощь в размещении и размещении женщин, женщин с детьми и супружеских пар во время обследования и лечения.
Информация об условиях проживания и трансфера из аэропорта Минеральные Воды и ж / д вокзала Пятигорска подробно в статье «Проживание».
Если вам необходимо забронировать жилье, пожалуйста, назначьте дату прибытия не позднее, чем за 7 дней.
Ведущие специалисты по лечению бесплодия в Южном Федеральном Округе
МЕЖДУНАРОДНОЕ ПРИЗНАНИЕ репутации и достижений Курортной клиники женского здоровья в разработке и внедрении эффективных и безопасных методов лечения и качества оказываемых медицинских услуг — НАГРАДА Курортной женской клиники в Пятигорске с Международным СЕРТИФИКАТОМ КАЧЕСТВА SIQS в области медицины и здравоохранения. Международный комитет Сократа, Оксфорд, Великобритания, и Швейцарский институт стандартов качества, Цюрих, ШВЕЙЦАРИЯ. Подробнее.
Работаем без выходных и праздников:
Диагностика причин бесплодия и лечение бесплодия в Пятигорске по записи по многоканальному телефону 8 (800) 500-52-74 (звонок по России бесплатный) или +7 (928) 022-05-32 (для звонков за границу).
Вы можете ОНЛАЙН обратиться к гинекологу в Пятигорске по адресу [email protected].
ОНЛАЙН РЕГИСТРАЦИЯ на прием к опытному гинекологу в Пятигорске здесь.
При взаимном уважении к религии и различным привычкам наших пациентов мы добиваемся высокой эффективности и комфорта лечения.
Мы ПОЛНОСТЬЮ в вашем распоряжении для любых сомнений или желаний.
Лечение женского бесплодия первичного и вторичного, дисгормонального и смешанного генеза — обязательное направление деятельности клиники женского здоровья.
Обследование и, при необходимости, лечение мужчин проводит уролог-андролог мужской санатории.
Вопросы и ответы
Работаем без выходных и праздников:
Диагностика причин бесплодия и лечение бесплодия в Пятигорске по записи по многоканальному телефону 8 (800) 500-52-74 (звонок по России бесплатный) или +7 (928) 022-05-32 (для звонков за границу).
Вы можете ОНЛАЙН обратиться к гинекологу в Пятигорске по адресу [email protected].
ЗАПИСАТЬСЯ на прием к опытному гинекологу в Пятигорске ОНЛАЙН здесь.



