«data-image-caption =» «data-medium-file =» https://unclinic.ru/wp-content/uploads/2018/11/polipy-v-matke.jpg «data-large-file =» https : //unclinic.ru/wp-content/uploads/2018/11/polipy-v-matke-900×600.jpg «title =» Полипы в матке: как лечить?»>
Александр Иванов, хирург-гинеколог
- Запись опубликована: 15.11.2018
- Время чтения: 1 мин чтения
Матка содержит два основных типа тканей: эндометрий, внутреннюю выстилку органа, и миометрий, мышечную ткань, которая формирует структуру матки. На эндометрии появляются разрастания (полипы), которые могут быть одиночными или занимать всю полость органа.
Подробно о полипах
Полипы матки или полипы эндометрия — это доброкачественные образования, которые возвышаются над поверхностью внутреннего слоя матки. Их размер колеблется от нескольких миллиметров до нескольких сантиметров. Это одиночные и множественные образования, которые прикрепляются к внутренней оболочке матки за счет тонкой ножки или широкого основания.
Обычно полипы эндометрия не растут за пределами полости матки, но в редких случаях они могут выйти через шейку матки во влагалище и быть обнаружены при обычном осмотре. Образование встречается у пациенток разных возрастных групп: молодых девушек, женщин среднего возраста и тех, кто уже прошел стадию климакса. Заболеваемость составляет от 6 до 20%.
Внутриутробные полипы часто сочетаются с полипами цервикального канала шейки матки. В гинекологии эти образования рассматриваются как фоновое или предраковое состояние и подлежат удалению.
Внутриматочные полипы
Полип состоит из трех основных компонентов: желез эндометрия, стромы эндометрия и центрального питающего сосуда. Поверхность нароста покрыта эпителием, в основании находится фиброзная строма и толстостенные сосуды.
принято различать железистые полипы эндометрия (с железистой тканью), железистый фиброз, фиброз (состоящий из плотных волокон соединительной ткани) и аденоматозный (предраковый.
Железистые или гормонозависимые полипы часто развиваются в молодом возрасте. Фиброзно-железистое, фиброзное встречается в основном у женщин старшего возраста. Они состоят из плотной соединительной ткани, в которой можно найти несколько отдельных желез. Аденоматозные полипы быстро растут и могут перерасти в рак эндометрия, поэтому требуют большего внимания.
Среди полипов матки отдельное место занимают плацентарные полипы, образованные из фрагментов плаценты и тканей плодного яйца, которые не были полностью удалены во время аборта, родов, выкидыша или замершей беременности. Наличие этих полипов может привести к длительному и сильному кровотечению, воспалению матки и бесплодию.
Может ли полип быть злокачественным?
Полип не может, но есть злокачественные опухоли с похожими симптомами. Определить, чем именно больна женщина, можно с помощью лабораторной диагностики, после чего все удаленные ткани отправляются на анализ.
Рак чаще встречается после 50 лет. Вероятность злокачественного новообразования в этом возрасте составляет около 5,4%, а у более молодых женщин — 1,7%.
Причины образования полипов
полипы эндометрия чаще возникают на фоне воспалительных процессов и гормональных нарушений, например, дисфункции яичников и чрезмерного уровня эстрогенов в организме. Эти образования могут сочетаться с другими доброкачественными опухолями.
Появлению наростов способствуют хирургическая травма матки при прерывании беременности, выскабливание эндометрия, длительное нахождение в полости матки ВМС (спирали).
Женщины с гипертонией, ожирением, заболеваниями щитовидной железы, сахарным диабетом и иммунными нарушениями подвержены риску полипов эндометрия.
Симптомы
- У всех полипов есть симптомы. У женщины развивается маточное кровотечение, которое приводит к анемии (анемии), бледности кожи, головокружению и слабости.
- При больших полипах появляются схваткообразные боли внизу живота, болезненные ощущения при половом акте. У женщин репродуктивного возраста эти образования могут привести к бесплодию, у беременных повышают риск выкидыша и преждевременных родов.
Диагностика
- Ультразвук органов малого таза обнаруживает утолщение и неровности слизистой оболочки эндометрия и обнаруживает полипы.
- Осмотр в зеркале помогает обнаружить на шейке матки новообразования, которые не видны на УЗИ.
- Гистероскопия (осмотр матки изнутри) проводится для выявления полипов эндометрия и определения их типа.
- Раздельное диагностическое выскабливание с исследованием удаленных тканей. Для этого берут образцы тканей с внутренней поверхности матки.
В современных клиниках при обнаружении полипов на УЗИ назначают обследование матки-гистероскопию. При этом обнаруженные наросты срезаются, а образцы тканей отправляются в лабораторию для анализа. При многочисленных полипах (полипозе) внутренняя поверхность матки соскабливается.
Лечение полипа эндометрия
Дальнейшая тактика лечения зависит от гистологического исследования, показывающего тип новообразования:
- После удаления железистых или железисто-фиброзных образований требуется гормональное лечение. Для нормализации гормональных процессов назначают оральные контрацептивы или устанавливают гормональную внутриматочную спираль Мирена».
- при обнаружении аденоматозных полипов необходимо более радикальное лечение. Даже старше 50 лет назначают гормональную терапию. При значительном повреждении органа, наличии множественных новообразований и согласии женщины матку удаляют.
Как происходит удаление полипа?
В матку вводится гистероскоп, который передает изображение на монитор. Через специальный канал вводится электрод, который удаляет полип с помощью радиоволн. Процедура обычно занимает от 5 до 30 минут.
Болезненность удаления полипа
Удаление проводится после внутривенного введения обезболивающего, поэтому во время операции женщина ничего не чувствует. Через сорок 40-60 минут препарат полностью выводится из организма.
Что ожидать после удаления полипа
После процедуры за пациентом наблюдают в течение одного часа, поэтому весь процесс удаления и полного выздоровления займет примерно 2 часа. Незначительное кровотечение может продолжаться две недели.
Влияние внутриматочных полипов на бесплодие и вынашивание
Исследования показали, что удаление полипов увеличивает вероятность зачатия. Особенно важно удалить полипы, расположенные рядом с маточными трубами и мешающие наступлению беременности.
Разрастание эндометрия препятствует имплантации и увеличивает количество выкидышей, поэтому эти образования лучше всего устранить перед планированием беременности.
Могут ли полипы вырасти снова
Примерно в 10-15% случаев болезнь возвращается. При рецидивирующих формах женщинам в климактерическом периоде предлагается удаление матки. В этом случае высок риск рака и репродуктивная функция утрачивается. К женщинам детородного возраста лечат без кардинальных мер с сохранением органов.
Прогноз и профилактика внутриматочных полипов
Около 1,5% внутриутробных полипов, особенно аденоматозных, перерождаются в рак. Поэтому после завершения лечения пациенты остаются под наблюдением гинеколога не менее одного года.
Профилактика заболевания заключается в своевременном и комплексном лечении воспалительных заболеваний матки и ее придатков, в коррекции гормональных нарушений.
Факты об осьминогах:
- Внутриутробные полипы — одна из наиболее частых причин аномального маточного кровотечения в репродуктивном возрасте и в период менопаузы.
- С возрастом вероятность образования полипа снижается и увеличивается процент перехода имеющихся новообразований в рак
- Полипы часто возникают после приема гормонов, заместительной гормональной терапии, на фоне гипертонии, ожирения, нарушения функции яичников.
- Иногда полип напоминает миому матки — их легко спутать между собой при УЗИ и гистероскопии. Поэтому точный диагноз можно поставить только после удаления образования и гистологического исследования.
Внутриутробные полипы могут протекать бессимптомно, поэтому женщинам даже при отсутствии недугов следует периодически посещать гинеколога и делать УЗИ. Найденные образования лучше удалить, даже если они не беспокоят.
Лечение полипов в матки — оптимально удаление!
Одним из самых распространенных новообразований матки являются полипы — грибовидные разрастания округлой формы, соединенные с внутренними стенками органа при помощи небольшой ножки.
Несмотря на их хорошее качество, наличие этих образований в организме нежелательно. Полипы могут перерасти в рак, вырасти до больших размеров, помешать зачатию и беременности, а также вызвать боль и кровотечение.
Полипы в матке: лечение современными методами
Самый надежный способ лечения полипов — их удаление. Эта операция не очень травматична и безопасна. После удаления сексуальная работоспособность и функции восстанавливаются довольно быстро. В послеоперационном периоде женщине назначают препараты, восстанавливающие гормональный фон и предотвращающие появление новообразований.
Удаление проводится в процессе гистероскопии — исследования матки. Для этого в полость матки вводится гистероскоп, оснащенный миниатюрной камерой.
Сначала хирург открывает канал шейки матки. Затем он вставляет в него гистероскоп — устройство в форме тонкой трубки, оснащенное камерой, передающей изображение на монитор. С его помощью врач может следить за ходом операции. Все обнаруженные образования удаляются с помощью электрической хирургической петли, после чего места прикрепления полипов обрабатываются жидким азотом или настойкой 5-йода.
Единичные большие полипы удаляются щипцами, захватывая прилегающие измененные ткани. При этом сосуды, которые ранее питали полип, остаются в скрученном состоянии и не кровоточат.
Наиболее подходящим периодом для гистероскопии считается 2-3 дня после окончания менструации. В это время слизистая оболочка матки имеет самую тонкую структуру, и на ее поверхности хорошо видны полипы. Что касается болезненности операции, то она практически не вызывает неприятных ощущений, так как проводится под местной или общей анестезией.
Диагностический кюретаж применяется при множественных полипах и гипертрофии (утолщении) внутреннего слоя матки. Во время процедуры врач с помощью специального расширителя открывает шейку матки и, удерживая ее в таком положении, с помощью острого инструмента удаляет измененные ткани вместе с полипами. Впоследствии удаленный биоматериал отправляется на гистологическое исследование, которое дает возможность определить, есть ли в удаленных клетках опухоли.
Иногда гистероскопию и выскабливание совмещают. Это делается для того, чтобы удалить оставшиеся части полипов и проверить ткань на наличие рака.
Все манипуляции проводятся через половые пути, поэтому на животе женщины отсутствуют швы и другие признаки вмешательства.
После операции
Сразу после операции проводятся плановые обследования, а затем назначается курс общеукрепляющей терапии. Тип и продолжительность зависят от возраста пациента, характера удаленной опухоли и наличия послеоперационных осложнений
В большинстве случаев после гистероскопии женщины испытывают умеренные боли в животе, напоминающие сокращения матки во время менструации. Они сопровождаются кровянистыми выделениями, сохраняющимися 2-3 недели. Эти явления вполне нормальны и считаются признаками нормального заживления внутренней полости матки.
После удаления полипов пациентам назначают антибиотики, спазмолитические и гормональные средства, снимающие боль и ускоряющие выздоровление.
Что нельзя делать после операции
- Прием лекарств, не назначенных врачом.
- Поднимайте тяжести, подвергайте тело физическим нагрузкам, профессионально занимайтесь спортом.
- Живите сексуально.
- Купаться в водоемах, принимать ванну. Мыться можно только в душе.
- Посетите баню, сауну, позагорайте на пляже. Перегрев вызывает повышение артериального давления и может привести к кровотечению.
Продолжительность запретов обычно не превышает 2-4 недель и во многом зависит от общего состояния здоровья пациента. Более конкретно, что разрешено, а что запрещено после операции, вы можете уточнить во время личной консультации с врачом.
Патология эндометрия и бесплодие
Патология эндометрия — это группа заболеваний слизистой оболочки матки, которые приводят к нарушению ее функции. Заболевания эндометрия — частая причина бесплодия.
В большинстве случаев причиной нарушения фертильности становятся дисгормональные заболевания: гиперплазия, полипы эндометрия. Репродуктивная дисфункция также может быть связана с воспалением, неопластическими процессами или аномалиями в развитии матки.
Международная классификация болезней X пересмотра выделяет следующие гиперпластические процессы эндометрия:
- полип тела матки;
- железистая гиперплазия эндометрия;
- аденоматозная гиперплазия эндометрия.
Гиперплазия эндометрия и бесплодие
Любой вид гиперплазии эндометрия приводит к бесплодию. А без лечения эту патологию невозможно преодолеть даже с помощью экстракорпорального оплодотворения.
Гиперплазия — это чрезмерное разрастание внутреннего слоя матки. Иногда гиперплазия имеет внешние признаки: длительные задержки менструации, после которых в середине цикла начинаются сильные кровотечения и кровянистые выделения. Но чаще всего гиперплазия никак себя не проявляет и выявляется случайно, на УЗИ.
При подозрении на гиперплазию эндометрия врач назначит дополнительное обследование — гистероскопию и биопсию эндометрия (выскабливание). Только гистологический отчет поможет окончательно диагностировать наличие гиперплазии и ее разновидность (гиперплазия без атипии или с атипией клеток (аденоматозная)). При обнаружении аденоматозной гиперплазии лечение можно проводить под наблюдением онколога.
Изменения эндометрия препятствуют имплантации эмбриона в стенку матки. Когда ЭКО проводится, несмотря на то, что зачатие происходит вне тела женщины в пробирке. Но после этого готовая бластоциста переносится в матку и должна быть самостоятельно имплантирована в эндометрий! И экстракорпоральное оплодотворение в этом случае бесполезно.
После лечения, в случае наступления беременности, репродуктолог должен компенсировать гормональные нарушения, сопровождающие гиперплазию эндометрия. После экстракорпорального оплодотворения большое внимание следует уделить поддержанию беременности на ранних сроках (в первом триместре).
https://youtube.com/watch?v=ZHjjGys3vxY
Полип эндометрия и бесплодие
Полипы эндометрия часто связаны с гиперплазией и могут вызвать бесплодие. В зависимости от гистологической структуры (типа ткани, из которой они растут) существуют несколько разновидностей этих доброкачественных новообразований):
- железистый;
- аденоматозный;
- фиброзный;
- фиброзно-железистый.
Наиболее опасен аденоматозный полип, поскольку он чаще других перерастает в раковую опухоль. Однако этот вид новообразования возникает в основном у пациенток после менопаузы, когда уже не стоит вопрос о сохранении его репродуктивной функции.
У молодых женщин гораздо чаще встречается железистый полип, сопровождающийся гормональными нарушениями. Именно он чаще всего становится причиной бесплодия.
Существует множество заболеваний, при которых нарушается функция внутреннего слоя матки. Среди них полип эндометрия. Как экстракорпоральное оплодотворение, так и физиологическое оплодотворение посредством полового акта имеют одинаково низкие шансы на успех, потому что эндометрий либо не готов принять эмбрион, либо отвергает оплодотворенную яйцеклетку на ранних сроках беременности.
Основной метод лечения полипа — хирургический. Для этого проводится гистерорезектоскопия. Результат гистологического исследования полипа помогает врачу при необходимости выбрать дальнейший план лечения.
Перед вводом протокола желательно сначала удалить тренировку. Экстракорпоральное оплодотворение после удаления полипа эндометрия можно проводить только после регенерации и восстановления функции слизистой оболочки матки.
Другая патология эндометрия и бесплодие
Есть и другие патологические процессы, которые могут поражать эндометрий. Причина бесплодия может заключаться в эндометриозе, эндометрите, доброкачественных или злокачественных новообразованиях внутреннего слоя матки. При некоторых заболеваниях фертильность сохраняется, но часто развивается бесплодие.
Основные методы диагностики патологии эндометрия:
- Ультразвук;
- гистероскопия;
- лабораторные анализы (анализы крови на гормоны);
- биопсия эндометрия.
В случае бесплодия, вызванного патологией внутреннего слоя матки, необходимо медикаментозное или хирургическое лечение. При обнаружении его утолщения или неправильной формы эндометрия ЭКО обычно не приносит результатов, поэтому его откладывают.
При бесплодии эндометрий необходимо восстанавливать и только после того, как зачатие становится возможным естественным путем или с помощью экстракорпорального оплодотворения.
Полипы в матке: диагностика и лечение
Полип матки — довольно распространенное гинекологическое заболевание, которое может возникнуть у женщины в любом возрасте. Чаще он связан с гормональным дисбалансом и возникает на фоне гиперэстрогении, а воспалительные заболевания органов малого таза также являются факторами риска. Реже полип в матке ассоциируется с психосоматикой, хотя стресс оказывает большое влияние на здоровье женщины.
Чем опасен полип в матке? Он способен вызывать сильное маточное кровотечение, изъязвление, воспаление и в 1-2% случаев перерастать в рак. Поэтому лечить его рекомендуется в любом случае, и чем раньше начато лечение, тем легче его провести. В Москве лечение полипов успешно проводят в Юсуповской больнице. Это современный медицинский центр, где пациентам оказывают первоклассные медицинские услуги.
Симптомы полипов матки
В самом начале своего образования полип в матке никак себя не проявляет, но со временем женщину начинают беспокоить следующие симптомы:
- Обильные менструации;
- Кровотечение вне менструации
- Спастическая боль в животе
- Неприятные ощущения во время полового акта;
- Затрудненное зачатие;
- Температурный (при полипе матки может возникнуть с развитием воспаления).
Иногда полипы матки протекают бессимптомно и обнаруживаются при выборочной проверке. Поэтому не забывайте регулярно посещать гинеколога и проводить ультразвуковое исследование органов малого таза.
Как выглядит полип: эндометрия
Полип развивается в полости матки из слизистого слоя. Это очаговая гиперплазия эндометрия, которая характеризуется полипом на ножке в матке. Новообразование может прикрепляться к полости матки с помощью тонкого соединительного разрастания или иметь широкое основание (в данном случае имеется в виду плоский полип в матке). Новообразования могут быть одиночными и множественными, размером от нескольких миллиметров до нескольких сантиметров в диаметре.
Этот вид доброкачественной опухоли в большинстве случаев располагается внутри полости матки. Выделяют следующие локализации:
- Полип на задней стенке матки;
- На передней стенке матки;
- На боковой стене;
- Полип на культе матки;
- Полип цервикального канала (редко).
По своему строению новообразования делятся на:
- Железистый;
- Железисто-фиброзный;
- Волокнистый;
- Аденоматозный.
Железистый полип в матке состоит из ткани эндометрия, в которой преобладают железы. Железистый полип тела матки часто развивается в молодом возрасте.
Железисто-фиброзный полип представлен железами эндометрия и фиброзной (соединительной) тканью. Фиброзные новообразования в основном состоят из плотной соединительной ткани. Фиброзные полипы в большинстве случаев развиваются у женщин в менопаузе и пременопаузе.
Полипы в матке требуют срочного лечения, поскольку они могут вызвать серьезные последствия, такие как анемия, бесплодие и, в редких случаях, рак.
Аденоматозный полип
Аденоматозные новообразования образуются из железистого эпителия, который показывает признаки чрезмерного роста и перестройки. Такие опухоли требуют к себе повышенного внимания, так как склонны к злокачественной трансформации.
Аденоматозный полип характеризуется обилием плотно локализованных желез. У них есть многочисленные ответвления в направлении соединительной ткани. Иногда они располагаются настолько близко друг к другу, что перемещают стромальные клетки и не видны даже под микроскопом. В некоторых увеличенных железах есть сосочковые разрастания по направлению к просвету, который имеет особое название «железа в железе».
Полип матки с очагами атипии желез визуально определить сложно. Поэтому при множественном полипозе удаляются все опухоли и проводится дополнительное гистологическое исследование. При наличии аденоматозного полипа матки с атипией необходима консультация онколога для определения дальнейшей тактики лечения.
Плацентарный полип
Плацентарные полипы в матке — это особый вид новообразования, которое образуется в полости органа из-за задержания частиц плацентарной ткани после родов, медикаментозного аборта или выкидыша. К остаткам плаценты, плотно прикрепленной к стенкам матки, прикрепляется множество тромбов, из которых образуется полип.
Эта патология очень распространена среди тех, кто прибег к искусственному прерыванию беременности или перенес выкидыш. Наличие полипов эндометрия увеличивает вероятность выкидыша в 5-8 раз. Плацентарный полип лечится хирургическим путем.
Признаки образований
Достоверной информации о причинах появления полипов нет. Существует несколько возможных причин образования очаговой гиперплазии эндометрия, в том числе:
- Гормональная дисфункция (образуется при большом количестве эстрогенов и недостатке прогестерона во второй фазе менструального цикла). Вот почему полипы чаще всего диагностируют в возрасте от сорока до пятидесяти лет, незадолго до наступления менопаузы;
- Инфекции — хронические воспалительные процессы в органах малого таза: перенесенный эндометрит (воспаление внутриматочной оболочки), цервицит (воспаление шейки матки), сальпингоофорит (воспаление придатков матки);
- Травма эндометрия (аборт, диагностическое выскабливание);
- Ожирение;
- Заболевания щитовидной железы;
- Диабет;
- Усталость.
Полипы и беременность
Чаще всего полип называют «естественным противозачаточным средством», потому что женщине сложно забеременеть при его наличии. Новообразование препятствует имплантации оплодотворенной яйцеклетки и, даже если это произойдет, может вызвать выкидыш. В результате у женщины диагностируется бесплодие или повторный выкидыш. Кроме того, большое новообразование вызовет боль во время полового акта, что негативно скажется на либидо женщины.
Поэтому при планировании беременности эту патологию необходимо полностью лечить, чтобы снизить риски возникновения нежелательных явлений.
Диагностика полипов в матке
После появления симптомов патологии (обильные менструации, кровотечение вне цикла, боли внизу живота) следует обратиться к гинекологу. Полипы также можно обнаружить на ранней стадии при плановом осмотре. Поэтому важно посещать гинеколога не реже одного раза в год.
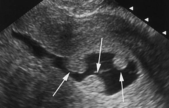
Для диагностики новообразований врач проведет гинекологическое обследование с пальпацией матки и назначит УЗИ. Полип в матке на УЗИ выглядит как более толстый овальный или круглый нарост на ножке. Во время исследования врач обращает внимание на расширение полости матки и местное утолщение эндометрия.
Более информативный метод диагностики — гистероскопия полипа матки. Во время его выполнения врач наблюдает новообразования в полости матки различной локализации. Они могут иметь гладкую или узловатую поверхность розового цвета. Новообразования могут быть красными, если в них началось воспаление, или сероватыми с единичными пятнами пестрого цвета при неправильном питании полипа и развитии некротического процесса.
определить тип полипа по его внешнему виду (железистый, фиброзный или аденоматозный) довольно сложно. Поэтому его удаляют для дальнейшего гистологического исследования.
Как выглядит полип в матке на УЗИ
Ультразвуковое исследование — самый доступный и высокоинформативный метод выявления новообразований в матке. На основании полученных результатов гинеколог составляет описание полипа в матке на УЗИ. Полип в матке — это новообразование, растущее из эндометрия.
Полип имеет простую структуру, он образован телом и ножкой, которая прикрепляет образование к стенке матки. На фото полипа матки на УЗИ, при данной патологии прослеживаются признаки эха в изменении полости матки, овальной или круглой формы новообразования, его однородности.
Ультразвуковое исследование при подозрении на полипы в матке в Юсуповской больнице проводится с использованием трансвагинальных и трансабдоминальных датчиков. Современное оборудование позволяет специалистам точно обнаружить новообразования в матке и провести дальнейшие исследования.
Гистология
Гистологическое исследование полипов проводится для определения характера образования и выбора дополнительной тактики лечения. Эта процедура назначается женщинам после обнаружения на УЗИ полипа матки. В процессе диагностического выскабливания полипов эндометрия специалист получает образцы тканей, которые используются для гистологического исследования.
Гистология полипа матки позволяет выявить раковые клетки на начальной стадии до появления первых симптомов заболевания. Полученный образец фиксируется специалистом этанолом или формалином, затем ткань обрабатывается и окрашивается. После выполнения этих действий специалист исследует ткань под высокоточным микроскопом.
Как лечить полипы в матке
На выбор метода лечения и тактики ведения больной полипозом эндометрия влияет множество факторов: размер образования, его структура, состояние слизистой оболочки матки (эндометрия), возраст женщины, наличие сопутствующих патологий и т д. Поэтому для достижения желаемого результата и устранения проблемы терапия должна иметь комплексный подход.
Лечение полипов матки успешно проводится в Юсуповской больнице. Здесь женщина может пройти полный курс лечения с консультацией врачей различного профиля (гинекологов, эндокринологов, онкологов). Лечение проводится в соответствии с международными стандартами доказательной медицины и отличается высокой эффективностью.
Показания к операции
В некоторых ситуациях врачи могут настоять на оперативном удалении полипов, если:
- Обнаружение аденоматозных полипов, которые особенно подвержены злокачественным новообразованиям;
- Обнаружение большого полипа матки (показание к операции> 20 мм);
- Высокая вероятность осложнений (кровотечение, воспаление);
- Наличие явного ухудшения состояния пациента.
Самым качественным и популярным методом хирургического удаления полипа в матке является гистероскопия с последующим выскабливанием полости и шейки матки. Также недавно появилась инновационная методика удаления полипа матки — лазерная хирургия.
Гистероскопия
Самая распространенная операция — удаление полипа в матке. Во время гистероскопии удаляются все полипы, а место прикрепления их ног прижигается электрокоагуляцией, чтобы исключить рецидив. По отзывам многих пациенток, эта процедура безболезненна и менее травматична, чем консервативное выскабливание полости матки.
Во время гистероскопии во влагалище вводится фиброскоп — гибкая трубка с присоединенной видеокамерой, которая передает изображение на монитор. После осмотра полип удаляется и отправляется в лабораторию на гистологическое исследование. Со временем вся процедура занимает 10-15 минут. Проводится под внутривенной анестезией, без интубации трахеи.
Выскабливание полости матки
Выскабливание полости матки может сопровождать гистероскопию или служить отдельным методом хирургического удаления полипа эндометрия. Эту процедуру рекомендуется проводить за несколько дней до начала менструации. Во время операции гинеколог расширяет шейку матки и специальной петлей соскабливает полипы со стенок матки. Полученный материал отправляют на гистологическое исследование.
Удаление лазером полипов матки
Удаление полипа матки с помощью лазерной хирургии не оставляет рубцов на тканях и позволяет сохранить репродуктивную функцию женщины. В современных медицинских центрах, таких как Юсуповская больница, можно пройти полное диагностическое обследование, а затем в тот же день снять тренировку. Поскольку эта процедура занимает всего пару минут, пациенту не нужно ехать в больницу. После удаления полипа в матке в послеоперационном периоде могут появиться выделения из влагалища пятен, которые со временем полностью исчезают.
Гистерэктомия
При наличии аденоматозных образований с атипией потребуется более радикальное лечение, при котором может потребоваться удаление матки. Гистерэктомия назначается при онкологической настороженности и перерождении патологии в рак.
Подготовка к полипэктомии
Женщинам требуется тщательная подготовка перед полипэктомией. В Юсуповской больнице пациенты могут пройти все необходимые обследования и сдать соответствующие анализы. Подготовка к удалению полипа в матке включает:
- Консультация гинеколога, терапевта, анестезиолога;
- Общий анализ крови и мочи;
- Влагалищные мазки на флору и цитологию;
- Электрокардиограмма и флюорография.
При наличии активного воспалительного процесса операция проводится только после курса соответствующей терапии.
Опасно ли удалять полипы в матке
Опасность присуща любому хирургическому вмешательству. Хотя операции по удалению полипов эндометрия считаются малоинвазивными и относительно нетравматичными, они не исключают риск осложнений:
- Маточное кровотечение;
- Прободение стенки матки;
- Воспаление;
- Рецидив;
- Шрамы.
Можно ли не удалять новообразование
Даже если у женщины нет характерных симптомов, но при гинекологическом осмотре или ультразвуковой диагностике обнаружен полип матки, от предложенной терапии отказываться не стоит. Для полипов матки характерны неприятные последствия:
- Бесплодие;
- Нерегулярный менструальный цикл;
- Анемия;
- Опухоль эндометрия.
Кровянистые выделения после операции
Кровянистые выделения могут наблюдаться несколько дней, однако обильное кровотечение может беспокоить только в первые часы после операции.
Как полип влияет на месячные
Менструация после удаления полипа эндометрия в матке нерегулярна и может существенно отличаться от нормальной менструации. Восстановление цикла обычно происходит в течение полутора месяцев, но может быть скорректировано в течение трех-четырех месяцев. Последствия удаления полипа в матке будут зависеть от того, произошло ли нарушение техники проведения операции или другие осложнения непосредственно во время манипуляции.
Ограничения после процедуры
В течение одного-двух месяцев после манипуляции в жизни женщины начинается ограничительный период, в который входят:
- Воздержание от половой жизни;
- Исключение посещения саун и бань;
- Исключение переохлаждения;
- Поднятие тяжестей не более 5 кг.
Консервативное лечение
Лечение полипов проводится не только хирургическим путем, но и консервативно. Лечебное лечение может быть предложено врачом при отсутствии болезненных и обширных симптомов образования. Но этот метод не исключает постоянного гинекологического наблюдения и регулярных дополнительных диагностических мероприятий.
Лечение полипа матки без операции также включает прохождение ряда физиотерапевтических процедур:
- Магнитотерапия;
- Ультразвуковое лечение;
- Электрофорез с лекарствами;
- Электростимуляционная техника;
- Лазерная терапия.
Показания к тому или иному виду консервативной комплексной терапии зависят от многих причин, в том числе:
- Без осложнений;
- Мягкая симптоматическая картина;
- Легкий и медленный рост доброкачественного образования в полости матки;
- Наличие противопоказаний к хирургическому удалению полипа женщине.
Медикаментозное лечение
Основным этапом лечения полипозных разрастаний эндометрия является прием гормональных препаратов (КОК и гестагены). Формирование патологического процесса в полости матки в 70% случаев связано с гормональным сбоем в организме женщины, что приводит к чрезмерной выработке эстрогенов. Гормональные противозачаточные средства снимают боль внизу живота и быстро останавливают маточное кровотечение.
Антибактериальные и противовоспалительные препараты применяют при лечении полипа эндометрия, если образование доброкачественного процесса произошло на фоне наличия венерического заболевания, хронического воспаления (аднексит, цервицит, оофорит). Комбинация этих двух классов препаратов дает наиболее эффективный и качественный результат.
Вагинальные свечи от полипов в матке также являются одним из методов медикаментозной терапии этого заболевания. У суппозиториев есть несколько преимуществ перед другими методами лечения. Действующее вещество оказывает лечебное действие непосредственно на патологический очаг, быстро проникая через слизистую оболочку стенки влагалища, минуя печень и почки.
Лечение полипов матки также включает применение витаминного комплекса и препаратов с высоким содержанием железа для профилактики анемии.
Прогноз
Полипы матки склонны к рецидивам. Поэтому после их удаления женщина должна дважды в год посещать гинеколога с профилактическим визитом.
В 1,5% случаев рецидивирующие разрастания матки подвержены злокачественной трансформации. По статистике аденоматозные полипы чаще всего связаны с развитием рака эндометрия. Исходя из этого, после курса лечения пациенты остаются в диспансере у гинеколога для наблюдения.
При отсутствии лечения полипоза матки развивается бесплодие и анемия. Наличие такой патологии в анамнезе провоцирует выкидыши, что имеет особое значение при планировании беременности.
Профилактика от полипов в матке
На сегодняшний день специфической профилактики полипов в матке не существует. Чтобы снизить риск развития гинекологических заболеваний, рекомендуется проводить общие мероприятия по поддержанию здоровья:
- Сбалансированная диета;
- Никаких вредных привычек;
- Умеренная физическая активность.
В Юсуповской больнице можно пройти не только лечение гинекологических заболеваний, но и профилактические осмотры. Врачи проведут необходимые обследования и дадут рекомендации по долгосрочному сохранению женского здоровья. Вы можете записаться на прием к специалистам больницы по телефону.




